MedTech Special

Mindray Elevates Global Healthcare Standards with Smart Anesthesia and MIS Innovations

From intelligent anesthesia delivery to 4K MIS imaging and cross-border partnerships, Mindray advances precision, safety, and accessibility in surgical care. ...

Hikma Strengthens Global Anesthesia Portfolio with Precision-Driven Products and Cancer Diagnostics Push in MENA

From prefilled syringes to strategic diagnostics partnerships, Hikma Pharmaceuticals is expanding anesthesia access and advancing personalized care in high-growth markets...

GE HealthCare Reinvents Anesthesia Delivery with AI, Et Control, and Global Partnerships

From compact Carestation™ platforms and eco-friendly vaporizers to billion-dollar AI alliances and FDA-backed efficiency, GE HealthCare is setting new benchmarks in smart, sustainable perioperative care....

B. Braun Advances Regional Anesthesia and Infusion Therapy with Innovation, AI, and Global Compliance

From ultrasound-guided nerve blocks and robotic surgery to smart infusion systems and EU MDR certification, B. Braun reinforces its leadership in precision care and global health access....

Ambu Champions Single-Use Innovation with AI-Driven Endoscopy and Sustainable Anesthesia Solutions

From high-definition scopes and integrated visualization to Bio-ABS-based ureteroscopes, Ambu is redefining airway and surgical care—sustainably and globally....

Fresenius Kabi Powers Smart Anesthesia with AI Monitoring, TIVA Pumps, and Global Expansion

With CONOX™, Agilia® pump systems, and its Vision 2026 framework, Fresenius Kabi is redefining anesthesia precision and scaling innovations across emerging markets....

Philips Healthcare Fuses AI, Analytics, and Sustainability to Redefine Anesthesia and Surgical Innovation

From real-time data ecosystems and low-flow anesthesia to regulatory-cleared monitoring and expansion in India, Philips is reshaping precision care and minimally invasive surgery....

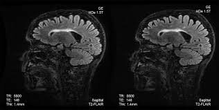
Subtle Medical’s AI-Powered SubtleHD™ Secures CE Mark, Bringing Faster, Higher-Quality MRI Imaging to Europe

Innovative software enhances MRI scan quality, reduces scan times by up to 80%, and optimizes radiology workflows without requiring hardware upgrades. ...

Zimmer Biomet Wins FDA Nod for Metal-Safe Knee Implant

Zimmer Biomet Secures FDA Clearance for Persona® Revision SoluTion™ Femur, Expanding Options for Metal-Sensitive Knee Implant Patients...

Boston Scientific to acquire SoniVie for up to $560 million to expand renal denervation portfolio

The acquisition adds the ultrasound-based TIVUS™ system to Boston Scientific’s interventional portfolio, enhancing treatment options for hypertension and expanding its presence in renal denervation therapy. ...