Medical Diagnostics

Seegene Unveils CURECA™ System to Automate Entire PCR Diagnostic Workflow

Modular end-to-end solution showcased at ESCMID 2025 promises to transform lab automation and eliminate pre-treatment bottlenecks...

Siemens Healthineers Powers Breast Cancer Detection in Indonesia with Launch of MAMMOMAT B.brilliant

Introduced at the Indonesian Women Imaging Society event, the new mammography system delivers rapid 50° tomosynthesis for greater diagnostic clarity, enabling earlier detection and improved outcomes for women nationwide....

Leading U.S. Cancer Center Selects Sectra for Integrated Diagnostics and Enhanced Patient Care

Adoption of Sectra's enterprise imaging solution aims to streamline workflows and boost collaboration in oncology diagnostics....

Healthy.io Acquires Labrador Health

Advancing the Future of At-Home Kidney Diagnostics ...

DELFI Diagnostics Showcases Advances in Early Cancer Detection and Monitoring at AACR Annual Meeting

Fragmentomics pioneer showcases DELFI-TF treatment monitoring solution alongside early detection capabilities at a premier oncology research event ...

Life Molecular Imaging Expands Neuraceq® Availability at PharmaLogic Salt Lake City

Enhanced the supply capabilities of Neuraceq® to increase patient access to beta-amyloid PET imaging ...

Center for Better Aging Extends Chicago Testing, Diagnostic Access

St. Bernard Hospital CT/Mammography Suite Addresses South Side's Health Risks ...

Theranica's Nerivio® Wearable Migraine Device Secures Coverage from Major U.S. Health Insurer

The policy expands access to this effective, non-drug treatment for members as young as 8 years old who are diagnosed with migraine ...

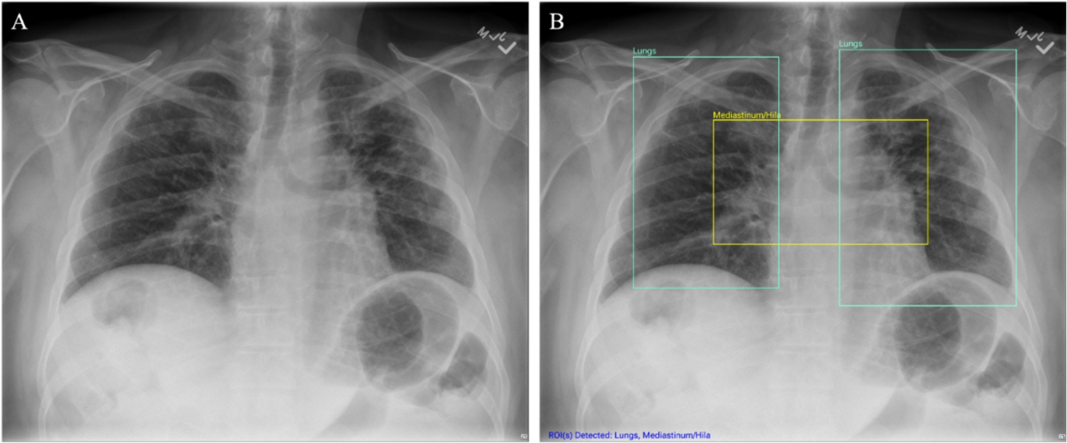
Imidex’s FDA-Cleared Lung Cancer Detection Algorithm Acquired – U.S.

The sale marks a pivotal move in advancing early-stage lung cancer diagnosis through AI-powered radiology solutions....

USA: Ceribell Secures FDA Clearance for Clarity™ AI Algorithm in Pediatric Seizure Detection

FDA clearance of Ceribell’s Clarity™ algorithm will enable rapid, bedside detection, diagnosis, and treatment of non-convulsive seizures in children experiencing neurological emergencies....