Magnetom Flow RT Pro Edition enables adaptive radiotherapy with AI-powered imaging, helium-independent cooling, and simplified installation near linear accelerators for enhanced patient care....
UK hospital becomes first globally to treat patient with new module for online adaptive radiotherapy ...
New QA system aims to enhance geometric accuracy in MR-guided radiation therapy and stereotactic planning ...
ESTRO debut highlights breakthrough in collision-free, non-coplanar beam planning through surface-guided technology integration...
A new technology marks a turning point in the treatment of early-stage breast cancer ...
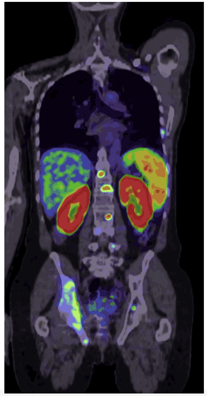
New approval provides French hospitals and clinics with access to a proven PSMA-PET imaging agent ...
The minimally invasive MINT® procedure offers a novel, sutureless solution for managing intraocular pressure in glaucoma patients....
Clinicians across the United Kingdom can now access Eko's advanced digital stethoscopes, auscultation accessories, and AI-supported tools via EkoHealth.com and Amazon UK....
New TS1200 model supports up to 300 lbs, offering hospitals a more efficient, scalable solution for surgical instrument transport and storage....
Hours, Not Days: EU Approval Accelerates 5-Hour Pathogen ID for Critical Cases. Molecular Fingerprinting: AI-Powered ‘DNA Barcode’ Spots 200+ Species, Including Uncultivable Pathogens. Hospital Laboratories Across Europe Now Have Immediate Access To a Fully Certified, Untargeted Molecular Diagnostics Platform. ...